
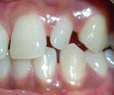
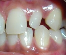
A Peg lateral is a term used to describe lateral incisors (the teeth immediately adjacent to the two front teeth) which are unusually small, and resemble small pegs.
Peg laterals can be treated with composite or porcelain veneers for cosmetic reasons.
Patients with peg lateral incisors often have mild to moderate gaps between all the front teeth. The treatment choice depends on the amount of gaps a patient has between all front teeth. Patients with gaps can best be treated with braces or Invisalign treatment to get spaces closed prior to any cosmetic treatment. If not treated in this sequence (if peg laterals are restored with veneers without braces) they can result into oversized teeth.
Once the gaps are closed, then a cosmetic dentist can do the composite build-up/veneers to bring those smaller teeth to the correct size, shape and contours. Composite veneers, if done well are the most conservative approach to treat this. Another option is to get minimal prep (ultrathin) porcelain veneers for those two side teeth after braces.
It is the best to work with an experienced Cosmetic dentist who can also work with an orthodontist to resolve the problem.