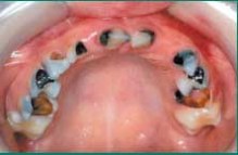
As you may have seen a recent article published in local newspaper Argus, dental disease has become ‘epidemic’ in California children, which is now, becoming a major factor in lack of academic achievements in schools across the state.

Tooth decay is one of the most common chronic diseases, which is linked to lower grade point average.
The Alameda County Public Health Department is working hard to try to resolve this issue.
Alameda county’s ‘Healthy Smiles Children’s Dental Program’ is a dental treatment and insurance enrollment program for Alameda County children under age 19 with dental needs and no dental insurance.
As always, our focus at SmilePlus Dentistry is to educate parents regarding most common oral conditions for their children. We don’t want dental conditions to be responsible for lower grades and lack of school attendance for our little patients.
If you are a parent, caretaker or an educator, we urge you to refer back to the series of eight posts written last year by Dr Patel about ‘how to raise cavity free kids’, which will give you plenty of tips to keep your child’s oral health safe.