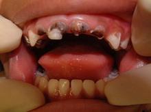
What is baby-bottle tooth decay?
“Baby-bottle tooth decay” is a particular kind of tooth decay that occurs in infants and children. Although all teeth can also be affected, this kind of decay is seen mostly in the upper front teeth.
What causes baby-bottle tooth decay?
This type of decay occurs when a child is given a bottle of a sweetened liquid, like milk, formula, or fruit juice, and the liquid is left clinging to his or her teeth for long periods of time. These sugars feed the bacteria in the mouth, which then produce acids that attack the teeth for 20 minutes or more. After the teeth have been subjected to many such attacks, they can decay. Often, parents don’t even realize that the teeth are vulnerable to decay so soon after they appear in the child’s mouth.
Also, it’s not just what is in a child’s bottle that can cause decay; it also depends on how often and for how long a child sucks on the bottle. Sucking on a sweet liquid many times a day isn’t a good idea, but allowing a child to fall asleep with a bottle during naps or at night can be especially harmful. Unfortunately, by the time decay is noticed, it may be too late to save the teeth.
How Can Baby-Bottle Tooth Decay Be Prevented?
You can help protect your child from baby-bottle tooth decay by following a few simple suggestions:
- Clean your baby’s teeth and gums after each feeding . (as discussed in a previous post on this blog: HowToCleanBaby’sTeeth)
- Don’t allow your child to fall asleep with a bottle containing milk, formula, fruit juice, or any other sweetened liquid.
- If you must give your baby a bottle to get him to fall asleep at bedtime, make sure it contains only water.
- Don’t dip your child’s pacifier into sugar or honey.
- Avoid filling your child’s bottle with liquids such as sugar water and soft drinks.
- If your local water supply doesn’t contain fluoride (a substance that helps prevent tooth decay), ask your dentist how else fluoride can be administered to your child.
- Begin your child’s dental visits by his or her first birthday, and continue them regularly.
- If you suspect your child has a problem with his teeth, take him to the dentist as soon as possible—even if you don’t have a visit scheduled.
There’s nothing more beautiful than a baby’s smile. Make sure you do everything you can to keep your baby’s baby teeth bright and healthy!

i am passionate and sincere about your dental work and take great pride in the smiles you create! I what a beneficial post. keep posting.
It was nice to read your post. Thank you for posting this piece!
beneficial post.to protect your child from baby-bottle tooth decay must give your baby a bottle to get him to fall asleep at bedtime, make sure it contains only water.Visiting a good dentist Seattle can have a major impact on the betterment of your dental health. nice post. keep posting.